Before & After Photos - Yardley, PA

The Proof Is In Our Patients

Schedule Your Appointment

Get Started

Before & After Photos

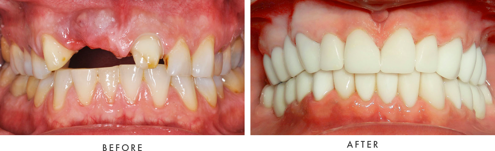
Dental Implants
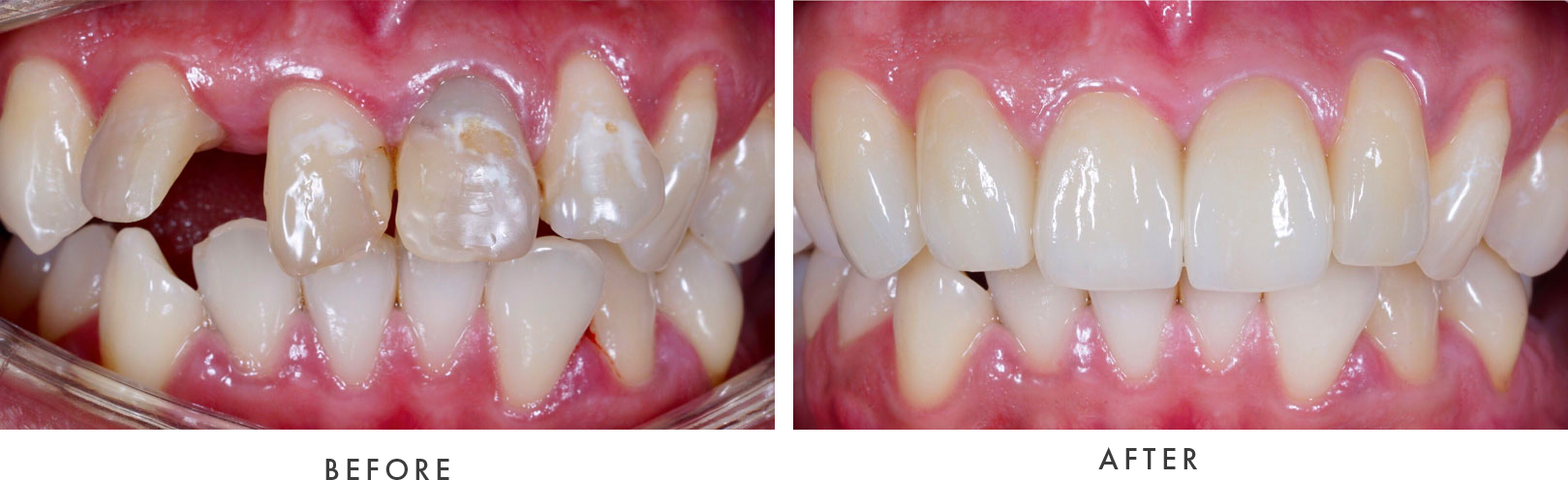
Porcelain Veneers

Find out how life-changing dental implants can be for you!

Schedule An Appointment

I understand the information disclosed in this form may be subject to re-disclosure and may no longer be protected by HIPAA privacy regulations and the HITECH Act.

schedule appointment