3:36

Same Day Smiles - Yardley, PA

Experience a True
Smile Transformation

George - All-On-X patient
“I Was A Dental Phobic” | George’s Story
dr faust with patient for all on x
1:03

Dr. Faust

Talks About Same Day Smiles at Bucks County Smiles

The Gold Standard in Tooth Replacement

The absence of teeth can lead to physical and emotional challenges. Beyond the discomfort and difficulty chewing, missing teeth can trigger long-term oral health issues. Adjacent teeth may shift, causing misalignment and bite problems, while bone loss in the jaw can weaken the facial structure. The impact on self-confidence is undeniable – gaps in the smile can hinder social interactions and self-esteem.

Fortunately, the transformative potential of our all on four to six implant protocol offers a comprehensive solution. By restoring a complete set of teeth, full mouth dental implants prevent further complications, promote healthy jawbone, and provide a confident smile that resonates on oral and personal well-being levels.

Fixed Solutions Can Make a Big Difference

Do dentures come to mind regarding a full mouth restoration solution? While a staple in the smile restoration market, dentures aren’t the only option anymore. Dentures can be uncomfortable and ill-fitting due to the need for adhesive application, leading to shifting and discomfort. Bone loss after tooth loss can alter facial structure and denture fit over time, requiring costly replacements.

Seeking a more permanent solution, many opt for full mouth dental implants, recognized as the optimal choice. Consisting of a post, abutment, and restoration, full mouth dental implants replicate natural teeth, restoring bite function and facial harmony. At Bucks County Smiles, we offer enduring full arch dental implant options, ensuring stability, minimal maintenance, and the potential for more than 30 years of confident, worry-free smiles.

Do I Qualify for Full Mouth Dental Implants?

If you have lost teeth due to trauma, disease, or excessive wear, you are most likely a candidate for full mouth dental implants! Full arch dental implants require only the necessary bone density to ensure your implants remain stable. This is typically the most important requirement for dental implant surgery. If you fail to meet the bone density requirements, our talented dental team may suggest supplemental treatments such as bone grafting to overcome the limitation.

At Bucks County Smiles, we believe in integrative dental care. We will examine multiple factors regarding your dental and medical history to ensure you receive comprehensive treatment.

Our dental team will take systemic illnesses, like diabetes or autoimmune diseases, into consideration since they may affect the success of your implant surgery without the proper care. Lifestyle changes, such as the cessation of tobacco or alcohol use, may be necessary to decrease the risks of infection and implant failure.

Dr. David Faust
1:24

Dr. David Faust Talks About Discovering A Life-Changing Solution To Dentures

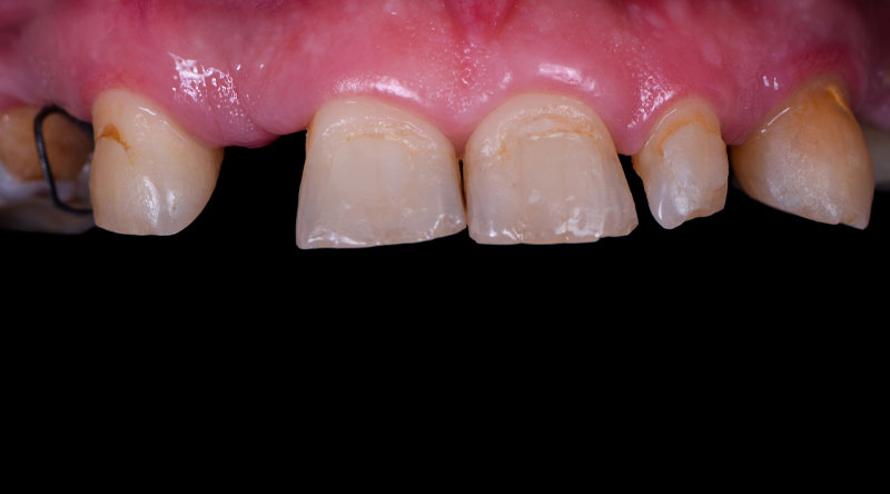
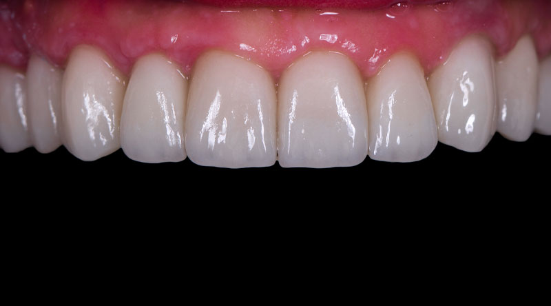
The Proof Is In Our Patients

Before After
Before After
Before After

We Make Dental Implants Affordable

Explore affordable full arch dental implants at Bucks County Smiles in Yardley, PA, without letting cost be a barrier. Our in-house technology streamlines the process, allowing us to provide detailed digital images and create restorations on-site, reducing expenses and shorter wait times for you and your family.

We collaborate with various financing services to ensure accessible options for affordable full arch dental implants. Our dedicated dental team is ready to assist you in utilizing these financing tools effectively, ensuring you can access the treatment you require.

Find out if you're a

candidate for dental implants

Answer the Following Questions To Learn more about our pricing and financing options.

Pat - All-On-X Patient
PAT'S STORY

A New Smile is Just the Beginning

Schedule An Appointment

I understand the information disclosed in this form may be subject to re-disclosure and may no longer be protected by HIPAA privacy regulations and the HITECH Act.

schedule appointment