Full Mouth Reconstruction - Yardley, PA

Full Function and Esthetics. Fully Restored.

Schedule Your Appointment

Get Started

Treatment for Broken, Decayed, and Missing Teeth

Intense discomfort and sensitivity when eating? Chronic tooth pain from extensive decay or infection? Declining smile esthetics due to rotting or missing teeth? Jaw pain and joint issues when you move your mouth? If you’re experiencing any of these or other widespread symptoms due to issues with your teeth, we can restore health and function back to your smile with Smile Design or full mouth reconstruction in Yardley, PA.

What Is Full Mouth Reconstruction?

Full mouth reconstruction refers to a series of treatments designed to restore all your teeth to proper strength and health so you can function comfortably and live confidently in a beautiful smile. Your treatment may include crowns and bridges, veneers, orthodontics, and dental implants. Our dental team at Bucks County Smiles has years of experience in the procedures offered in full mouth reconstruction and has in-depth knowledge of facial anatomy and oral structures. Using this expertise, we provide treatment personalized to your oral health needs and unique budget with help from sophisticated dental technology. We can help you regain a comfortable and confident life with full mouth reconstruction!

dental implant patient smiling

Candidates for Full Mouth Reconstruction

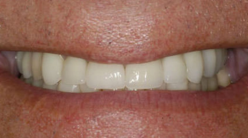
The Proof Is In Our Patients

Before After
Before After
Before After

Full Mouth Reconstruction Treatments

Dental crowns are porcelain restorations that cap a damaged or treated tooth. These restorations are custom-made to restore the size, shape, and color of your tooth. Crowns improve tooth strength and durability after a large cavity or root canal therapy and can restore a dental implant.

Dental bridges are a series of two or more dental crowns fused together that span the gap of an empty tooth socket. Bridges are made from natural-looking porcelain material and customized to blend in with adjacent teeth. They replace one or more missing teeth and restore proper function for biting and chewing.

Gaps, chips, yellow teeth? Porcelain veneers are slim, tooth-colored shells that cover the front part of teeth to enhance their cosmetic appearance. Veneers can simultaneously treat multiple cosmetic issues, including tooth chips and cracks, discoloration, crookedness, or worn-down teeth. They’re often used in smile makeover treatments to improve the “smile zone” or the teeth that show when you smile.

Tired of yellow teeth but frustrated by ineffective, over-the-counter whitening solutions? Professional teeth whitening brightens stained and discolored teeth multiple shades whiter in one or more sessions! Office-based whitening uses professional-grade bleaching agents that can be customized to the desires of each patient. Professional teeth whitening is efficient and comfortable with dramatic, long-lasting results.

Occlusal adjustments alter the surface of teeth so they come together correctly. Proper occlusion disperses the pressure and force of biting and chewing evenly across all teeth. An even bite also reduces teeth grinding and clenching, jaw pain, and TMJ problems and provides comfort and ease for everyday movements like eating and talking.

Braces effectively straighten teeth when severe tooth overcrowding, jaw problems, and/or complex bite misalignment are present. Braces use a bracket-and-wire system to gently straighten teeth by applying constant pressure and torque. Metal braces are a time-tested and effective orthodontic solution for straightening crooked teeth.

Invisalign is an alternative to traditional braces that uses a series of virtually invisible clear aligners to discreetly straighten teeth. Invisalign is beneficial and frequently preferred by social teens and professional adults alike. The clear aligners are removable and do not hinder lifestyles, dietary habits, or oral hygiene routines.

Dental implants permanently replace one or more missing teeth. They are made up of a post (tooth root) surgically placed in the jawbone and a restoration (tooth crown) attached to the post with an abutment. Dental implants restore normal biting and chewing power, natural smile aesthetics, and oral health for an overall improved quality of life.

Our Smile Rehabilitation Process

Full mouth reconstruction is complex and often requires multiple procedures to restore full health and function to your smile. To ensure your treatment is tailored to all your needs, we first complete a consultation and evaluation at our state-of-the-art practice in Yardley, PA. During this appointment, we encourage you to discuss the difficulties you’ve been experiencing. We’ll then examine your mouth and x-rays to determine the best treatment plan for your situation. Functional and cosmetic considerations are included in this treatment plan, but so is your budget. We accept multiple insurance providers and partner with third-party financing companies to offer payments that fit within your budget.

While full mouth restoration primarily addresses functional dental concerns, you will experience improvements to the cosmetic look of your smile as well. When planning your treatment, we take into consideration your facial features and symmetry, lip and gumline, and your personal smile goals. Your treatment may take weeks to months as we restore each tooth to proper health. If gum disease or infection in your tooth roots is present, we’ll most likely complete these treatments first to provide a healthy foundation for the rest of your teeth. Next, we’ll introduce orthodontics, replace missing teeth, and finally complete cosmetic treatments like dental crowns or porcelain veneers. Once your full mouth makeover is complete, your amazing new smile will be revealed, and so will your newfound confidence!

patty - dental implant patient smiling

The Benefits of a Restored Smile

George - All-On-X Patient
GEORGE'S STORY

Complete this short smile Evaluation and receive the following:

If you're a good candidate for veneers

A Digital Smile Design to show you what you will look like with your new veneers!

Pricing and options for treatment

And best of all... a time to speak directly with one of our highly qualified dentists.

Is your smile causing you pain?

Schedule An Appointment

I understand the information disclosed in this form may be subject to re-disclosure and may no longer be protected by HIPAA privacy regulations and the HITECH Act.

schedule appointment